我们非常重视您的个人隐私,当您访问我们的网站时,请同意使用的所有cookie。有关个人数据处理的更多信息可访问《隐私政策》

售前电话:400- 966- 9516 售后电话:0755-86111281

异氟烷为何普遍用于动物全身麻醉?

分享:

公司资讯
  • 2020-08-31

  • 来源:必威官方首页官网betway

  • 浏览量:12055

异氟烷是美国小动物临床中应用最广泛的吸入麻醉药。它是恩氟烷(临床中已经停止使用)的同分异构体,是一种卤代醚,不易燃。使用异氟烷,最好配备精确的、标有刻度的特定挥发罐。本期我们将对比异氟烷麻醉方式与其他注射麻醉方式在部分场景的应用,进一步了解异氟烷在实验应用中的优势体现。

水合氯醛 vs 异氟烷

骨癌痛模型:如果实验中,需要对癌痛模型进行消化道或者腹腔皮下给药,建议选择吸入式麻醉。水合氯醛的给药方式是腹腔给药,腹腔麻醉很有可能影响腹腔器官,引发肠道黏膜水肿以及麻痹,继而引起消化道功能异常,使药物效果不能达到预期。异氟烷麻醉安全,可靠,效率高,能为骨癌痛模型的操作提供可靠麻醉保障。(如下图所示)

1-麻醉效果比较.png

对比两组大鼠的麻醉诱导时间,可看出异氟烷组优于水合氯醛组。对比麻醉清醒时间,异氟烷组更是明显优于水合氯醛组。

戊巴比妥 vs 异氟烷

 1)大鼠急性应激反应:研究表明,在大鼠急性应激反应中,注射麻醉方式本身会引起额外的压力,从而干扰血浆CORT水平,但不会干扰血浆性激素水平或大脑mRNA表达。而吸入异氟烷可使压力反应保持原样,从伦理角度来看也更好。

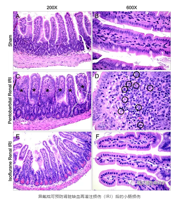
2)肾脏缺血再灌注损伤:图示表明肾脏IRI后,戊巴比妥暴露导致明显的肝细胞空泡化、小肠中上皮绒毛肿胀和凋亡。异氟烷暴露显著减轻了肝脏和小肠的损伤。 与戊巴比妥相比,吸入式麻醉剂不会显著改变全身血压或肾血流量。某些吸入式麻醉剂(例如甲氧基氟烷)会因为无机氟化物而发生肾脏代谢,并有直接的肾毒性。但异氟烷代谢少,与氟化物的肾毒性无关。

2-肾脏缺血再灌注损伤.png

氯胺酮 vs 异氟烷

小动物MRI:研究评估氯胺酮/甲苯噻嗪和异氟烷麻醉对小鼠左心室(LV)功能的影响时,发现对比异氟烷组,氯胺酮/甲苯噻嗪会显著降低心率、心输出量和壁厚,但增加了卒中量和舒张末期容积。而异氟烷有利于磁共振研究,能更好地维持心脏功能。实验中异氟烷对心脏功能的影响最小,对于同一动物的重复研究来说,异氟烷是一种很好适应的麻醉剂。

 总结:  动物全身麻醉是利用特定药物对中枢神经系统产生广泛抑制作用,使动物体的意识、感觉、反射和肌肉张力部分或全部暂时性丧失。其方法主要分为吸入式麻醉和非吸入式麻醉两类。异氟烷气体麻醉深度和麻醉浓度可调,麻醉过程更加容易掌控,不影响动物的生理指标,实验重复性好,适合各种动物的短时和长时麻醉。异氟烷气体吸入式麻醉也是目前国际惯用的麻醉方式,成果易得到国际承认。 

上面我们提到了部分场景中异氟烷麻醉方式与其他注射麻醉方式在的对比,下面我们比较一下发现吸入式麻醉具有以下优势:

麻醉状态实时调整,麻醉苏醒平稳迅速;

麻醉输出浓度及麻醉深度可控;

吸入式麻醉剂几乎不参与动物肝肾代谢;

无创操作,愈后风险低,保障实验动物福利。

吸入式麻醉剂一般分为两种,挥发性麻醉药:氯仿,氯乙烷,乙醚,三氯乙烯,氟烷,七氟醚,恩氟烷,地氟烷和异氟烷等。气体:环丙烷和一氧化二氮等。现环丙烷和氯仿已不再被使用;氟烷,恩氟烷和甲氧基氟烷在北美的临床实践中不再使用。 同样作为吸入式麻醉剂,为何动物麻醉实验更偏好异氟烷呢?一起来看!

乙醚 vs 异氟烷

乙醚麻醉不适用于麻醉诱导;易引发呼吸道急性感染,糖尿病,颅内压增高;遇氧易燃、易爆,使用不便。它的使用已日趋减少。 异氟烷气体麻醉剂适用于诱导和维持麻醉,异氟烷对分泌有轻微的刺激,麻醉浓度可控,不易燃,是乙醚的合适替代品。

3-乙醚 vs 异氟烷.png

七氟烷 vs 异氟烷

诱导和苏醒速度:七氟烷的血液溶解度是异氟烷的一半。溶解度越低,诱导、麻醉变深或者苏醒的速度越快,这点对于时间长、深度手术很重要。

循环功能:对循环功能的影响区别不明显。

呼吸功能:异氟烷具有轻微刺激气味,呼吸抑制作用比七氟烷强。

代谢作用:异氟烷的机体代谢比七氟烷低,前者约为0.2%,绝大部分完全由肺代谢排出;后者约为3%。所以异氟烷对于新生动物或者有肝肾功能损伤的动物研究更适宜。

异氟烷和七氟醚在实际麻醉效果上差异不大,从成本的角度看,异氟烷更具有性价比优势。异氟烷是目前实验室常用的挥发性麻醉剂。

地氟烷 vs 异氟烷新型挥发性麻醉剂地氟烷的心肺作用与异氟烷非常相似,相当于异氟烷,且地氟烷对机体的肝肾损伤更小,麻醉恢复速度更快。 但地氟烷沸点较低(22.8°C),需要专用的加热加压蒸发器,相对异氟烷,操作更复杂和成本高昂。此外地氟烷在使用中可能引起咳嗽,腹泻,屏气和喉痉挛,浓度快速增加会导致交感神经活性活动增强。

氟烷、恩氟烷、甲氧基氟烷 vs 异氟烷

氟烷需要专用的氟烷蒸发罐,麻醉作用较强,极易发生麻醉过深而出现呼吸抑制、心博缓慢、心律失常等。 恩氟烷是一种氟化醚,会导致剂量相关的心血管和呼吸抑制。氟烷,恩氟烷,异氟烷和七氟醚等当量浓度的比较研究表明,恩氟烷对心输出量和动脉血压的影响最大。 甲氧基氟烷由于其机体代谢浓度高而产生大量的无机氟,容易造成肾功能衰竭。

总结:从麻醉效果,安全性,性价比综合考虑,异氟烷麻醉剂更适宜应用于动物吸入式全身麻醉。

参考文献:

1.《现代麻醉学》于布为、王俊科、王恩真等编制.

2. 王祥瑞. 吸入麻醉药物的药理特性及应用. 上海医学2009年第32卷第1期

3. 《吸入麻醉药》王祥瑞、俞卫峰、杭燕南主编.

4.Isoflurane is a suitable alternative to ether for anesthetizing rats prior to euthanasia for gene expression analysis

Noriyuki Nakatsu, Yoshinobu Igarashi   The Journal of Toxicological Sciences  2017 Volume 42 Issue 4 Pages 491-497

5.Isoflurane and sevoflurane provide equally effective anaesthesia in laboratory mice

N Cesarovic, F Nicholls, A Rettich… - Laboratory …, 2010 - journals.sagepub.com

6.Pharmacology of Inhaled Anesthetics.  Andrew E. Hudson, ... Hugh C. Hemmings, ... Hugh C. HemmingsJr., in

7.Cardiovascular and respiratory actions of desflurane: is desflurane different from isoflurane?

DC Warltier, PS Pagel - Anesthesia and analgesia, 1992 - europepmc.org

8.Andrew E. Hudson, ... Hugh C. HemmingsJr., in Pharmacology and Physiology for Anesthesia, 2013

9.孙乐天,穆晓丽.动物全身麻醉方法及用药研究进展【J】.畜牧兽医杂志,2011,30(2);27-28.

10.《小动物麻醉与镇痛》施振声、张海泉主译,林德贵主审.

11.朱恒舟,李文婷,吴勉华. 吸入异氟烷与腹腔注射水合氯醛对大鼠骨癌痛模型建立的影响比较【J】.广东医学 2019 年 5 月 第 40 卷第 9 期.

12.Evidence for the use of isoflurane as a replacement for chloral hydrate anesthesia in experimental stroke: an ethical issueP Maud, O Thavarak, L Cédrick, B Michèle… - BioMed research …, 2014 - hindawi.com.

13 .Effect of pentobarbital and isoflurane on acute stress response in rat

XY Wu, YT Hu, L Guo, J Lu, QB Zhu, E Yu, JL Wu… - Physiology & …, 2015 - Elsevier

14.Isoflurane Activates Intestinal Sphingosine Kinase to Protect against Renal Ischemia–Reperfusion-induced Liver and Intestine Injury

Minjae Kim, M.D.;  Critical Care Medicine   February 2011

15. Cine-MRI assessment of cardiac function in mice anesthetized with  ketamine/xylazine and isofluraneF. Kober, I. Iltis, P. J. Cozzone & M. Bernard  Magnetic Resonance Materials in Physics, Biology and Medicine volume 17, pages157–161(2004) 

4-麻醉方案.png

Baidu
map